Làm răng sứ thẩm mỹ – Xu hướng cải thiện nụ cười tự tin hơn
Làm răng sứ thẩm mỹ đang trở thành giải pháp được nhiều người lựa chọn để cải thiện nụ cười một cách nhanh chóng và hiệu quả. Trong bối cảnh ngoại hình ngày càng được chú trọng, một hàm răng đều đẹp, trắng sáng không chỉ giúp tăng sự tự tin mà còn tạo ấn tượng tích cực trong giao tiếp và công việc. Những khuyết điểm như răng xỉn màu, răng thưa, răng mẻ hay hình dáng răng không hài hòa đều có thể được khắc phục nhờ công nghệ làm răng sứ hiện đại, mang lại diện mạo tự nhiên và nụ cười cuốn hút hơn.
Làm răng sứ thẩm mỹ là gì?
Để hiểu vì sao phương pháp này được ưa chuộng, trước hết cần nắm rõ bản chất của làm răng sứ trong nha khoa thẩm mỹ.
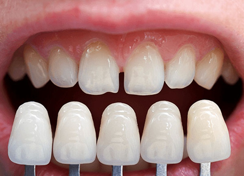
Làm răng sứ thẩm mỹ là kỹ thuật sử dụng mão răng sứ hoặc các phục hình sứ khác để bao phủ, tái tạo hình dáng và màu sắc cho răng thật đã bị tổn thương hoặc có khuyết điểm. Răng sứ được thiết kế cá nhân hóa, đảm bảo phù hợp với từng vị trí răng và tổng thể nụ cười. Không chỉ giúp răng đều đẹp hơn, phương pháp này còn hỗ trợ cải thiện chức năng ăn nhai và bảo vệ răng thật khỏi các tác động bên ngoài.
Vì sao làm răng sứ thẩm mỹ ngày càng phổ biến?
Sự phổ biến của làm răng sứ không phải là xu hướng nhất thời mà xuất phát từ những lợi ích rõ rệt mà phương pháp này mang lại.

Làm răng sứ thẩm mỹ giúp cải thiện nhanh chóng tình trạng răng kém thẩm mỹ chỉ trong thời gian ngắn. So với nhiều phương pháp khác, kết quả mang lại rõ ràng, ổn định và có thể duy trì trong nhiều năm nếu chăm sóc đúng cách.
Bên cạnh đó, công nghệ chế tác răng sứ hiện đại cho phép tạo ra những mão sứ có màu sắc tự nhiên, hình dáng cân đối, phù hợp với từng khuôn mặt, giúp nụ cười trở nên hài hòa hơn.
Xem thêm bài viết về răng sứ kim loại
Các phương pháp làm răng sứ thẩm mỹ phổ biến
Tùy thuộc vào mức độ khuyết điểm của răng, tình trạng sức khỏe răng miệng cũng như mong muốn thẩm mỹ của mỗi người, bác sĩ sẽ đưa ra phương án làm răng sứ phù hợp. Hiện nay, nha khoa hiện đại áp dụng nhiều phương pháp khác nhau, từ phục hình toàn diện đến xâm lấn tối thiểu, giúp khách hàng dễ dàng lựa chọn giải pháp tối ưu.
Bọc răng sứ toàn phần
Bọc răng sứ là phương pháp được ứng dụng rộng rãi nhất trong làm răng sứ thẩm mỹ. Bác sĩ sẽ mài một phần răng thật theo tỷ lệ an toàn, sau đó chụp mão sứ bao phủ toàn bộ thân răng. Phương pháp này phù hợp với những trường hợp răng bị hư tổn nặng, răng nhiễm màu khó tẩy trắng, răng mẻ lớn hoặc cần chỉnh sửa đáng kể về hình dáng và màu sắc. Bọc răng sứ mang lại hiệu quả thẩm mỹ cao và khả năng ăn nhai ổn định.
Dán sứ Veneer
Dán sứ Veneer là kỹ thuật sử dụng lớp sứ siêu mỏng dán cố định lên mặt ngoài của răng. Ưu điểm nổi bật của phương pháp này là hạn chế tối đa việc mài răng, bảo tồn mô răng thật tốt hơn so với bọc sứ truyền thống. Veneer đặc biệt phù hợp với những người có răng cửa tương đối đều, chỉ gặp khuyết điểm nhẹ về màu sắc, hình thể hoặc kẽ răng nhỏ.
Làm răng sứ trên Implant
Đối với trường hợp mất răng, làm răng sứ trên trụ Implant là giải pháp phục hình hiện đại và toàn diện. Trụ Implant được cấy trực tiếp vào xương hàm để thay thế chân răng đã mất, sau đó mão sứ được gắn lên trên. Phương pháp này không chỉ khôi phục thẩm mỹ mà còn đảm bảo chức năng ăn nhai như răng thật, đồng thời ngăn ngừa tình trạng tiêu xương hàm.
Làm cầu răng sứ
Cầu răng sứ được áp dụng khi mất một hoặc vài răng liền kề. Bác sĩ sẽ mài hai răng bên cạnh vị trí mất răng để làm trụ nâng đỡ, sau đó gắn dãy răng sứ liền khối lên trên. Phương pháp này giúp phục hồi nhanh khoảng trống trên cung hàm, cải thiện thẩm mỹ và khả năng nhai trong thời gian ngắn.
Phục hình răng sứ bán phần
Phục hình răng sứ bán phần thường được chỉ định trong trường hợp răng chỉ bị tổn thương một phần, chưa cần bọc toàn bộ thân răng. Bác sĩ sẽ thiết kế miếng sứ phù hợp để che phủ vùng răng khuyết thiếu, giúp khôi phục hình dáng răng mà vẫn giữ được tối đa mô răng thật.
Quy trình làm răng sứ thẩm mỹ đạt chuẩn
Một quy trình chuẩn giúp đảm bảo an toàn và hiệu quả phục hình. Thông thường, quy trình làm răng sứ bao gồm:

- Thăm khám và đánh giá tổng quát tình trạng răng
- Tư vấn phương pháp và loại răng sứ phù hợp
- Chuẩn bị răng và lấy dấu
- Chế tác răng sứ tại labo
- Gắn răng sứ và điều chỉnh khớp cắn
Thực hiện đúng quy trình giúp làm răng sứ thẩm mỹ đạt độ chính xác cao và mang lại cảm giác thoải mái khi sử dụng.
Tuổi thọ của răng sứ thẩm mỹ là bao lâu?
Tuổi thọ răng sứ phụ thuộc vào nhiều yếu tố như vật liệu, kỹ thuật thực hiện và cách chăm sóc sau điều trị. Trung bình, răng sứ có thể sử dụng từ 10–20 năm, thậm chí lâu hơn nếu:
- Lựa chọn vật liệu sứ chất lượng
- Thực hiện đúng kỹ thuật
- Chăm sóc răng miệng tốt
- Tái khám nha khoa định kỳ
Khi được chăm sóc đúng cách, làm răng sứ thẩm mỹ mang lại giá trị sử dụng lâu dài và ổn định.
Cách chăm sóc răng sau khi làm răng sứ thẩm mỹ
Chăm sóc đúng cách là yếu tố then chốt giúp duy trì độ bền và vẻ đẹp của răng sứ.

- Đánh răng ít nhất 2 lần/ngày với bàn chải mềm
- Sử dụng chỉ nha khoa và nước súc miệng
- Hạn chế ăn thực phẩm quá cứng hoặc quá dai
- Tránh thói quen nghiến răng
- Khám răng định kỳ 6 tháng/lần
Với khả năng cải thiện nụ cười toàn diện, làm răng sứ thẩm mỹ là giải pháp nha khoa hiện đại được nhiều người lựa chọn. Khi được thực hiện đúng kỹ thuật, lựa chọn vật liệu phù hợp và chăm sóc hợp lý, răng sứ không chỉ mang lại vẻ đẹp tự nhiên mà còn đảm bảo chức năng ăn nhai lâu dài. Để đạt kết quả tối ưu, bạn nên thăm khám tại cơ sở nha khoa uy tín và nhận tư vấn trực tiếp từ bác sĩ chuyên môn trước khi quyết định.
